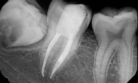
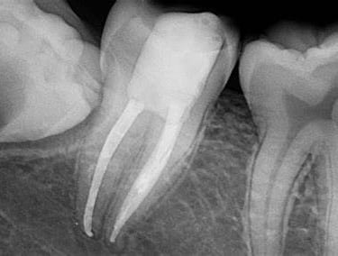
Root Canal Treatment
'Cus we Dentists love to reach the ROOT of the problem.
Our teeth, just like any other part of our body is also supplied by nerves and blood vessels. Its called the PULP of the tooth. And just like any other part of the body, it carries a risk of being diseased or infected.
Superficial infections or caries as we dentists call it still have a bright chance of being treated by normal tooth fillings. But many times patients report to us with lots of pain and strong sensitivity in teeth.
That is simply because the infection had reached the Pulp of the tooth and we have ignored the tooth for a long time.
But latest innovations in teeth care have given us Dentists, a chance to save the tooth, even if the infection becomes too much. At Kraft 32, We are equipped to provide you with The Best Root Canal Treatment In Kolkata in the most painless and comfortable manner possible.


Cost Of Root Canal Treatment in Kolkata
As the best Root Canal clinic in Kolkata, Kraft 32 offers Root Canal treatments painlessly. Without worrying about Root Canal Treatement cost, We ensure that our patients walk out of the clinic without pain.
Many people assume that the Root Canal Treatment (RCT) cost in Kolkata is high. However, at Kraft 32, we offer affordable RCT in Kolkata without losing out on quality. The overall cost of Root canal treatment in Kolkata depends whether you are going through an RCT of Incisors, Canine or Molar RCT, Re-RCT, Infection Status of the tooth involved and Single Sitting RCT.
Kraft 32 offers attractive packages and EMI-Friendly payment schemes to make Root Canal cost in Kolkata affordable for everyone. We work closely with our patients to ensure that they receive the best possible care and personalized treatment plan.
If you are considering Root Canal Treatment in Kolkata, contact us at Kraft 32 for a consultation. Our friendly and knowledgeable staff will be happy to answer any questions you may have and provide you with all the necessary information regarding RCT cost in Kolkata. With our expertise and commitment to quality, you can be assured of a successful Root Canal Procedure that will enhance your smile and boost your confidence.
If you are looking for affordable Root Canal cost in Kolkata, contact us at Kraft 32 to schedule a consultation.
